症例集
ー インプラント ー

インプラントの症例集です。

インプラント治療
+
セラミック治療
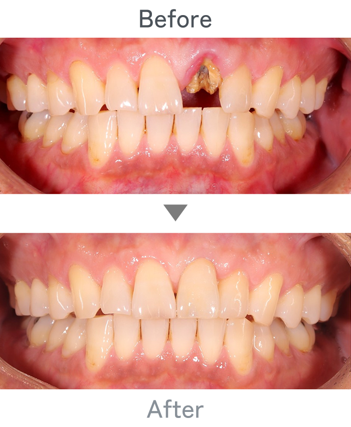
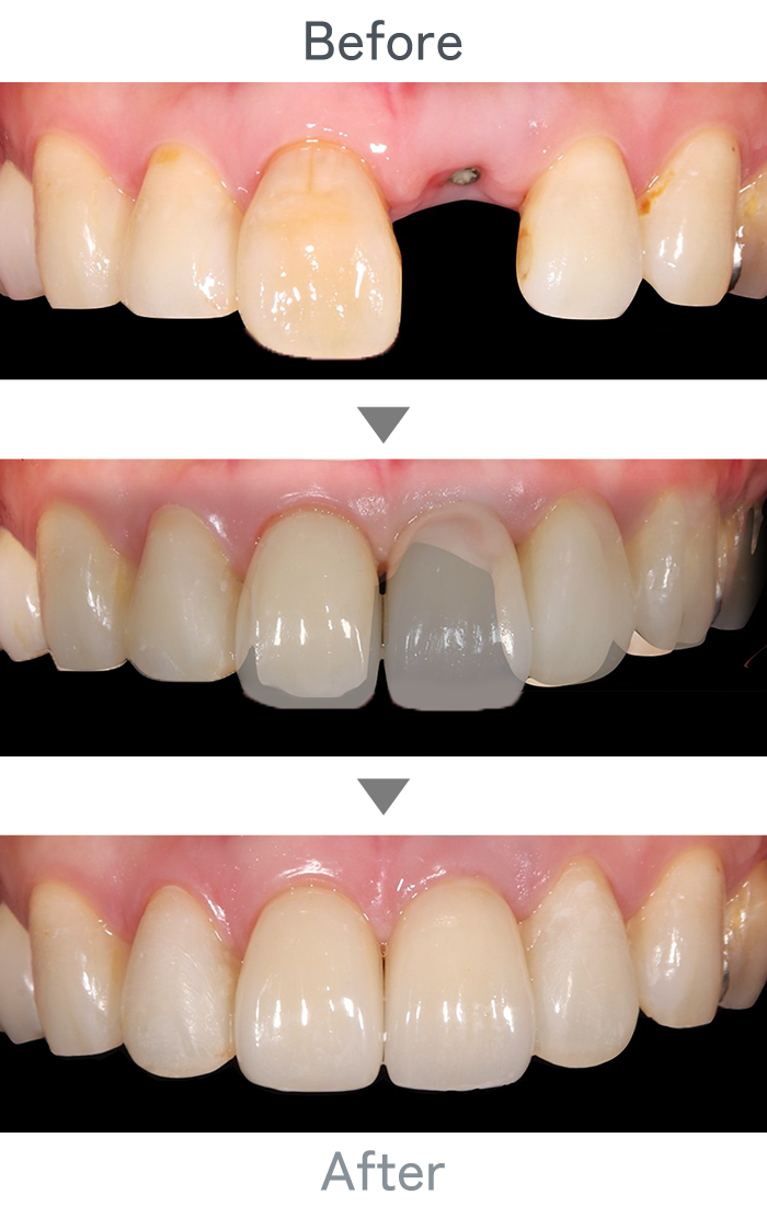
前歯のインプラント
主訴 前歯折れた
治療法 左上1番:インプラント治療
右上1番:セラミック治療
治療期間 4ヶ月半
費用 ・インプラント左上1番:300,000円
・インプラント左上1番上部構造:120,000円
・セラミック治療右上1番:120,000円
小 計:540,000円
消費税:54,000円
合 計:594,000円

※インプラント体、上部構造ともに『10年保証』
副作用
  • メンテナンスが必要
インプラント治療
+
ラミネートべニア
前歯のインプラント
主訴 前歯折れた
治療法 左上1番:インプラント治療
右上1番:ラミネートべニア
治療期間 4ヶ月半
費用 ・インプラント左上1番:300,000円
・インプラント左上1番上部構造:120,000円
・ラミネートべニア右上1番:100,000円
小 計:520,000円
消費税:52,000円
合 計:572,000円

※インプラント体、上部構造ともに『10年保証』
副作用
  • メンテナンスが必要
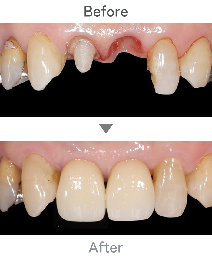
インプラント治療
前歯のインプラント
主訴 前歯折れた
治療法 左上1番:インプラント治療
治療期間 3ヶ月半
費用 ・インプラント左上1番:300,000円
・インプラント左上1番上部構造:120,000円
小 計:420,000円
消費税:42,000円
合 計:462,000円

※インプラント体、上部構造ともに『10年保証』
副作用
  • メンテナンスが必要
All-on-4
+
金属床義歯
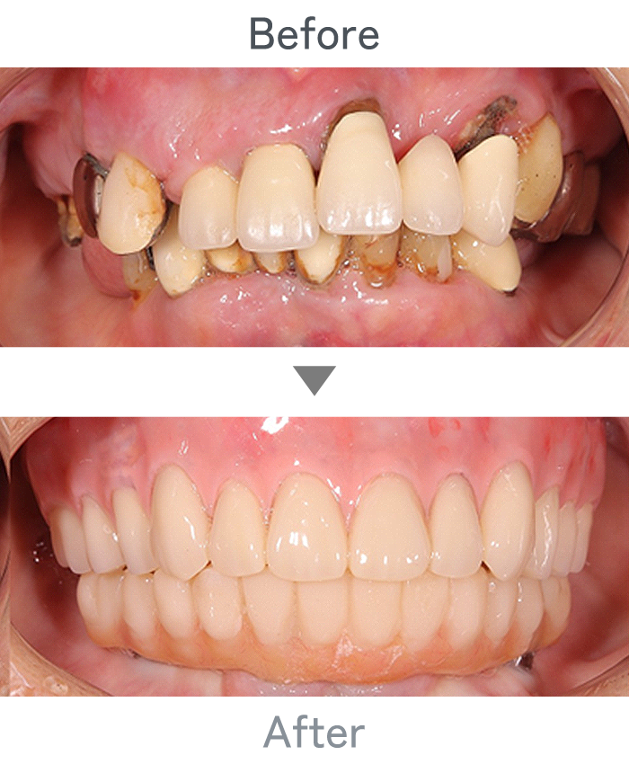
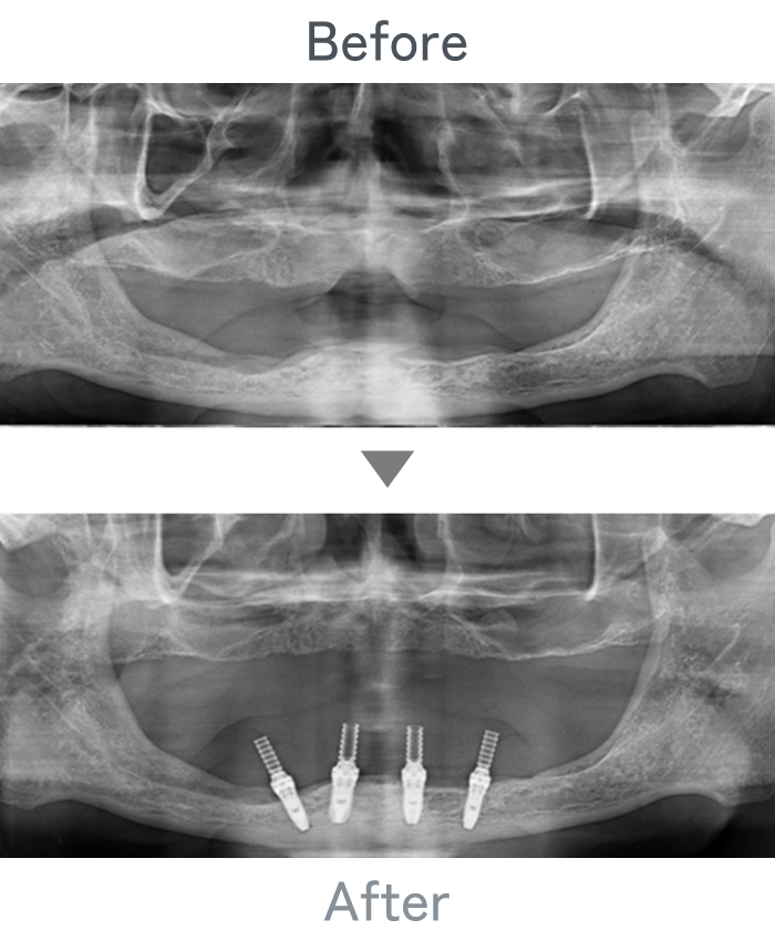
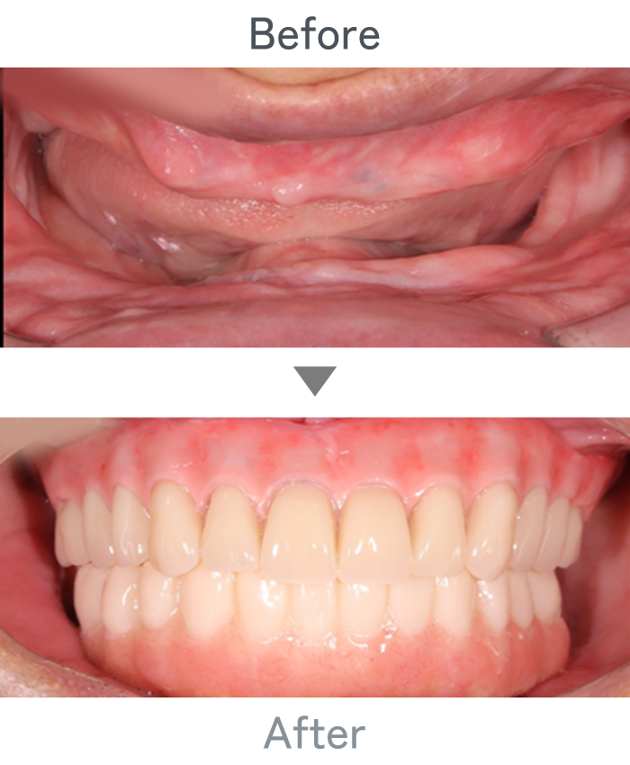
All-on-4
All-on-4
All-on-4
主訴 入れ歯が使えなくて固定式にしたい
治療法 上顎:金属床義歯
下顎:All-on-4
治療期間 4ヶ月
※仮歯は手術当日に装着
費用 ・上顎金属床義歯:200,000円
・下顎All-on-4:2,500,000円
小 計:2,700,000円
消費税:270,000円
合 計:2,970,000円

※インプラント体、上部構造ともに『10年保証』
副作用
  • メンテナンスが必要
All-on-4
+
金属床義歯
All-on-4
All-on-4
All-on-4
主訴 入れ歯が使えなくて固定式にしたい
治療法 上顎:金属床義歯
下顎:All-on-4
治療期間 4ヶ月
※仮歯は手術当日に装着
費用 ・上顎金属床義歯:200,000円
・下顎All-on-4:2,500,000円
小 計:2,700,000円
消費税:270,000円
合 計:2,970,000円

※インプラント体、上部構造ともに『10年保証』
副作用
  • メンテナンスが必要
MedicalDOC
インプラント無料相談インプラント無料相談
All-on-4(オールオンフォー)All-on-4(オールオンフォー)
たつの市 歯医者 やまもと歯科・矯正歯科
079-322-3533診療時間
WEB初診ご予約
WEB再診ご予約
竜野駅、網干駅から10分圏内、駐車場27台完備
〒671-1321 兵庫県たつの市御津町苅屋361-3 御津総合支所前 山本歯科医院