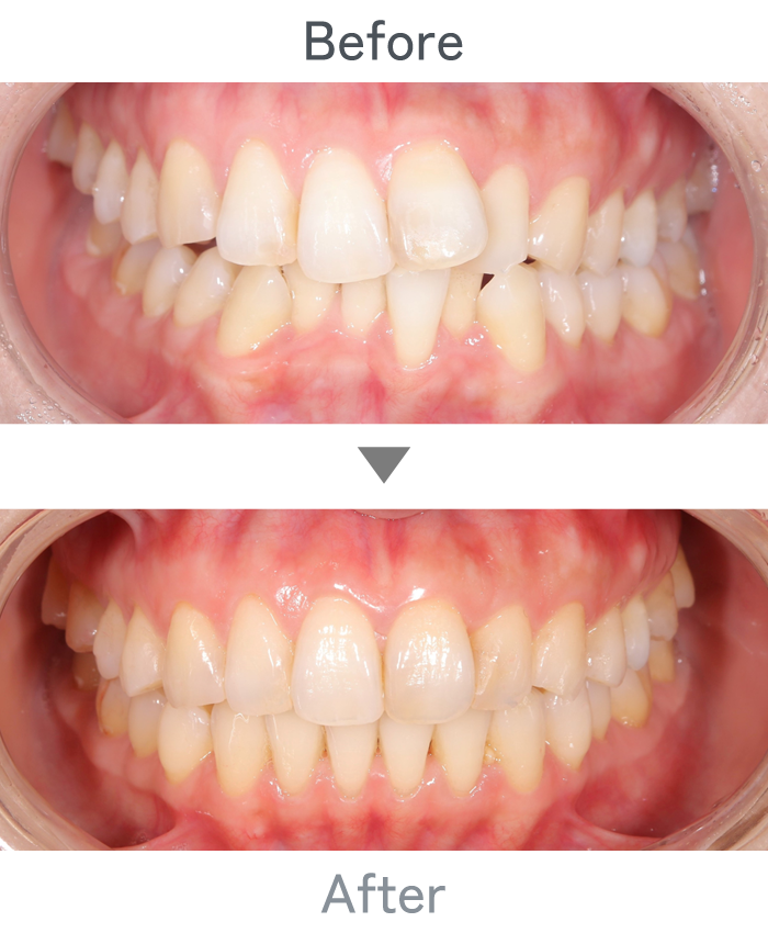
矯正歯科の症例集です。
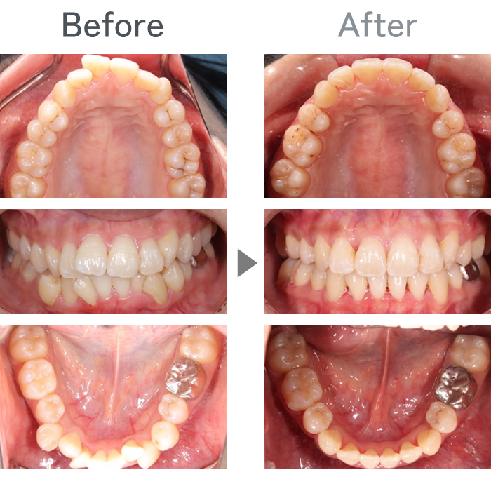
| 主訴 | 歯並びが気になる |
|---|---|
| 治療法 | インビザライン治療(マウスピース矯正) |
| 治療期間 | 1年半 |
| 費用 | 979,000円(税込) ※マウスピース交換料金、保定装置代込み 矯正治療に対する追加費用は発生しません。 |
| 副作用 | 後戻り防止ためのリテーナーを使用していただきます。 |
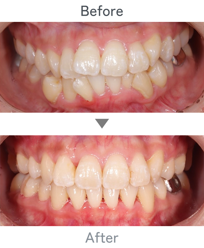
| 主訴 | 歯並びが気になる |
|---|---|
| 治療法 | インビザライン治療(マウスピース矯正) |
| 治療期間 | 1年半 |
| 費用 | 979,000円(税込) ※マウスピース交換料金、保定装置代込み 矯正治療に対する追加費用は発生しません。 |
| 副作用 | 後戻り防止ためのリテーナーを使用していただきます。 |
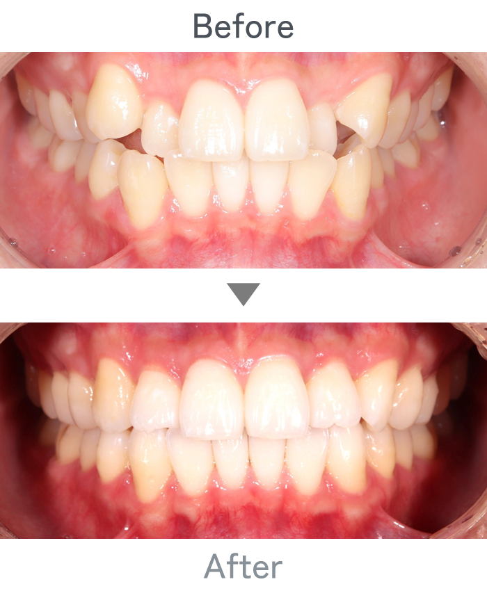
| 主訴 | 歯並びが気になる |
|---|---|
| 治療法 | インビザライン治療(マウスピース矯正) |
| 治療期間 | 1年半 |
| 費用 | 979,000円(税込) ※マウスピース交換料金、保定装置代込み 矯正治療に対する追加費用は発生しません。 |
| 副作用 | 後戻り防止ためのリテーナーを使用していただきます。 |
| 主訴 | 歯並びが気になる |
|---|---|
| 治療法 | 抜歯を伴うインビザライン治療 (マウスピース矯正) |
| 治療期間 | 1年半 |
| 費用 | 979,000円(税込) ※マウスピース交換料金、保定装置代込み 矯正治療に対する追加費用は発生しません。 |
| 副作用 | 後戻り防止ためのリテーナーを使用していただきます。 |
| 主訴 | 歯並びが気になる |
|---|---|
| 治療法 | インビザライン治療(マウスピース矯正) |
| 治療期間 | 1年半 |
| 費用 | 979,000円(税込) ※マウスピース交換料金、保定装置代込み 矯正治療に対する追加費用は発生しません。 |
| 副作用 | 後戻り防止ためのリテーナーを使用していただきます。 |
| 主訴 | 前歯が開いている 歯並びが気になる |
|---|---|
| 治療法 | インビザライン治療(マウスピース矯正) |
| 治療期間 | 10ヵ月 |
| 費用 | 979,000円(税込) ※マウスピース交換料金、保定装置代込み 矯正治療に対する追加費用は発生しません。 |
| 副作用 | 後戻り防止ためのリテーナーを使用していただきます。 |
| 主訴 | 前歯が噛めない 歯並びが気になる |
|---|---|
| 治療法 | 上顎のみのインビザライン治療 (マウスピース矯正) |
| 治療期間 | 半年 |
| 費用 | 489,500円(税込) ※マウスピース交換料金、保定装置代込み 矯正治療に対する追加費用は発生しません。 |
| 副作用 | 後戻り防止ためのリテーナーを使用していただきます。 |
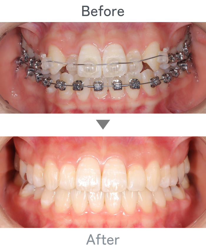
| 主訴 | 歯並びが気になる |
|---|---|
| 治療法 | ブラケット |
| 治療期間 | 1年 |
| 費用 | 968,500円(税込) ※調整料、保定装置代込み 矯正治療に対する追加費用は発生しません。 |
| 副作用 | 後戻りのリスクがあります。矯正装置を外してから歯並びを安定させるためのリテーナーを使用していただきます。 |